Stray Dogs Bosnien e. V.

Lieber Straßenhund wurde vom Zug erfasst und böse verletzt

Eines Tages stand er humpelnd und verletzt da

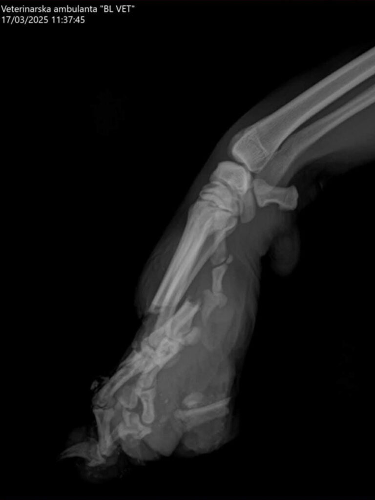
Bark war ein bosnischer Streuner, der von der ganzen Nachbarschaft geduldet und sogar gefüttert wurde. Dann kam er eines Tages so an die Tür. Niemand weiß, was passiert ist, aber da die Bahn gleich gegenüber ist, denken wir, dass er von einem Zug erfasst und schwer verletzt wurde. Die grausamsten Bilder ersparen wir euch. 😮‍💨

Ein paar Leute vor Ort haben sich zusammengetan und ihn zum Tierarzt gebracht zur Erstversorgung. Als das Hochwasser kam, evakuierten sie ihn und brachten ihn in Sicherheit.

Wir benötigen Hilfe bei den Tierarztkosten

Was übrig bleibt, sind hohe Rechnungen beim Tierarzt und ein Hund, der nach all dem Ärger und Leid nicht mehr zurück auf die Straße kann. Die Leute wandten sich an uns und baten um Hilfe. Wir versprachen unser Möglichstes zu tun, um ihm zu helfen. Voraussichtlich benötigt er weitere ärztliche Versorgung, um vollends zu genesen.

🙏 Deswegen sind wir sehr auf eure Hilfe angewiesen! Wenn ihr uns helfen könnt, die Kosten für den armen Bark zu stemmen, sind wir mehr als dankbar.

Spendenkonto:

Stray Dogs Bosnien e.V.
IBAN: DE60764500000231438060
BiC: BYLADEM1SRS

PayPal: straydogsbosnien@gmail.com
(Bitte „Freunde und Familie“ auswählen, um hohe Gebühren zu vermeiden.)

Verwendungszweck: Bark

Vielen Dank für eure Unterstützung und euer Vertrauen in unsere Arbeit! Ohne euch können wir es nicht schaffen. Nur durch eure Hilfe können wir dem lieben Bark die bestmögliche Pflege und Chance auf ein glückliches Leben geben. ❤️

Kommentar verfassen

Deine E-Mail-Adresse wird nicht veröffentlicht. Erforderliche Felder sind mit * markiert